越南电动汽车制造商VinFast的亚洲区首席执行官周一表示,该公司正在与多家零部件制造商进行洽谈,旨在从印度获得更多零部件供应。 越南VinFast亚洲公司CE....
在爱情的世界里,每个星座都有其独特的表达方式。对于男人而言,他们可能不会直接说出“我爱你”,但他们的行为却能透露出深深的爱意。以下是四个可能表明一个男人想要疼爱....
在二战东线战场上,1943年7月爆发的库尔斯克会战堪称人类历史上规模最大的坦克对决。在这场钢铁洪流的碰撞中,苏联红军投入了超过5000辆坦克,其中包括大量通过《....
中证报中证网讯(记者王舒嫄)中国证券报记者11月14日获悉,商务部副部长盛秋平日前在第八届进博会期间举行的“投资中国”自贸试验区专场推介活动上表示,自贸试验区是....
美国电子商务巨头亚马逊周三表示,计划到2030年在印度投资超过350亿美元,以扩大业务并加强其人工智能能力,成为最新一家宣布在印度投资全球科技公司。 较早时微软....
漫威 2026 年最新的超英剧《奇迹人》开播了,豆瓣只有几百人看过。 作为漫威的开年新剧,这个热度实在是有点低了。 因为相比恶评如潮,没人聊才是真的可怕,这可能....
易方达上证科创板200交易型开放式指数证券投资基金上市交易公告上证公告(基金)【2025】857号易方达基金管理有限公司管理的易方达上证科创板200交易型开放式....
新华社北京4月23日电 4月23日深圳配资,国家主席习近平向气候和公正转型领导人视频峰会发表致辞。 习近平指出,今年是《巴黎协定》达成10周年,也是联合国成立8....
免责声明:本文所述模型,专注于指标公式的技术交流、源代码分享与学术探讨,仅作为分享量化分析思维旺发速配,不作任何投资建议与依据。 上期回顾:量化顶底绝密主副图选....
据诺和诺德首席执行官迈克・杜斯达尔(Mike Doustdar)周五在领英上发布的帖子显示威力财,该公司针对9000人裁员计划的员工通知工作已基本完成。他补充称....
[吐舌] 昔日家喻户晓的“小兵张嘎”,如今却因身穿警服直播带货,被云南警方行政拘留7日,“国民小英雄”的人设已然崩塌。 ....
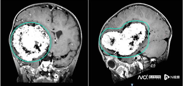
两岁幼儿走路不稳、反应迟钝、反复呕吐——这是正常的成长现象信捷策路,还是肠胃脆弱的表现?看似常见的症状背后,竟隐藏着一个10多厘米的颅内巨大肿瘤。 近日,广东省....
上阳网配资 总台记者当地时间 9 月 29 日获悉,据西班牙 - 美国联合委员会消息人士透露,西班牙政府已经禁止美国使用美军设立在西班牙的罗塔、莫龙两处军事基地....
(原标题:芯源微第二届监事会第三十次会议决议公告)新玺配资 沈阳芯源微电子设备股份有限公司第二届监事会第三十次会议于2025年6月6日在公司会议室以现场和通讯相....
公司配资炒股文章加载中,请稍后...
可盈配资🥇公司配资炒股杠杆原理的巧妙运用可以帮助投资者实现财富的快速增长。但前提是投资者必须充分了解市场、掌握投资技巧并具备足够的风险承受能力。